ヌマムラサキツユクサ Tradescantia paludosa
 
作成者:鈴木雅大 作成日:2011年1月31日
 
ヌマムラサキツユクサ(沼紫露草)
Tradescantia paludosa E.S. Anderson & Woodson, 1935
 
維管束植物門(Phylum Tracheophyta),種子植物亜門(Subphylum Spermatophytina),被子植物("Angiospermae"),モクレン綱(Class Magnoliopsida),ユリ上目(Superorder Lilianae),ツユクサ目(Order Commelinales),ツユクサ科(Family Commelinaceae),ムラサキツユクサ属(Genus Tradescantia
 
新エングラー体系:被子植物門(Phylum Angiospermae),単子葉植物綱(Class Monocotyledoneae),ツユクサ目(Order Commelinales),ツユクサ科(Family Commelinaceae)
クロンキスト体系:被子植物門(Phylum Magnoliophyta),ユリ綱(Class Liliopsida),ツユクサ亜綱(Subclass Commelinidae),ホシクサ目(Order Ericaulales),ツユクサ科(Family Commelinaceae)
 
ヌマムラサキツユクサ Tradescantia paludosa
 
ヌマムラサキツユクサ Tradescantia paludosa
 
ヌマムラサキツユクサ Tradescantia paludosa
 
ヌマムラサキツユクサ Tradescantia paludosa
撮影地:千葉県 柏市 豊四季;撮影日:2011年5月26日;撮影者:鈴木雅大
 

北アメリカ原産の外来種または栽培種です。広義のムラサキツユクサ(Tradescantia spp.)の1種で,「ムラサキツユクサ」と呼ばれている種,栽培品種の中で,染色体数が2n=12のものをヌマムラサキツユクサと呼んでいます。しかし,「ムラサキツユクサ」の中からヌマムラサキツユクサを形態(花や葉など)で区別するのは困難ではないかと思います。著者がヌマムラサキツユクサと同定していた株は,大学の実習用に栽培していたもので,野外で採集,観察したものではありません。野外で「ムラサキツユクサ」を採集して減数分裂の観察に用いたものは全て染色体数が多く(2n=24?),ヌマムラサキツユクサに相当するものは見つけられませんでした。減数分裂の観察(大学の学生実習)をやらなくなってからは,栽培していた株を維持するのを止めてしまったため,もはや比べようがないのですが,道で移出している「ムラサキツユクサ」を見かけると,ヌマムラサキツユクサではないかとつい気になってしまうことがあります。

 
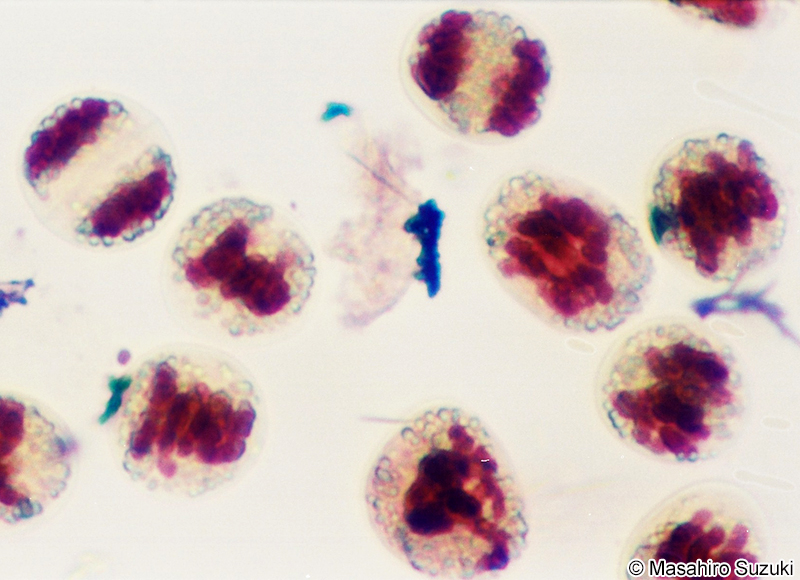
ヌマムラサキツユクサの花粉の減数分裂の観察
減数分裂中の細胞
 
ヌマムラサキツユクサの花粉の減数分裂
減数分裂第一分裂中期
 
染色体数が2n=12なので,減数分裂の観察に最適です。染色体数が2n=24とされる「ムラサキツユクサ」と比べると染色体が半分である分,観察は容易で,3時間の実習ならば減数分裂の第一分裂と第二分裂の全ステージを観察出来ました。うまく押しつぶす事が出来れば,染色体数も正確にカウントできます。とはいえ、実習時間に合わせて減数分裂を見せるのはかなり大変でした。減数分裂の観察方法は様々な論文やウェブサイトで紹介されておりますが,その通りにやってもうまく行かず,自分で試行錯誤してようやく形になったという思い出があります。それでも一人の学生が全ステージを見つけるのは難しく,6人組の班単位での観察としていました。実験の時期や植物の状態に左右されるため再現性を求めるのはかなり難しいと感じました。教育効果の高い実験だけに今後も改善及び教材開発が必要だと思われます。
 
参考文献
 
IPNI 2011. International Plant Names Index. Published on the Internet http://www.ipni.org, The Royal Botanic Gardens, Kew, Harvard University Herbaria & Libraries and Australian National Botanic Gardens. [Retrieved 31 January 2011].
 
 
写真で見る生物の系統と分類真核生物ドメインスーパーグループ アーケプラスチダ緑色植物亜界有胚植物上門被子植物ユリ上目ツユクサ目
 
「生きもの好きの語る自然誌」のトップに戻る