| ウツロムカデ Grateloupia catenata |
| |
| 作成者:鈴木雅大 作成日:2011年11月18日(2018年4月21日更新) |
| |
| ウツロムカデ(空ろ百足) |
| Grateloupia catenata Yendo 1920: 9. |
| |
| 紅藻植物門(Phylum Rhodophyta),真正紅藻亜門(Subphylum Eurhodophytina),真正紅藻綱(Class Florideophyceae),マサゴシバリ亜綱(Subclass Rhodymeniophycidae),イソノハナ目(Order Halymeniales),ムカデノリ科(Family Grateloupiaceae),ムカデノリ属(Genus Grateloupia) |
| |
| * 吉田ら(2015)「日本産海藻目録(2015年改訂版)」における分類体系:紅藻綱(Class Rhodophyceae),スギノリ目(Order Gigartinales),ムカデノリ科(Family Halymeniaceae),ムカデノリ属(Genus Grateloupia) |
| |
| 掲載情報 |
| Yoshida 1991: 7. Pl. 32; Wang et al. 2000: 231-232. Figs 1-19. |
| |
| Homotypic synonym |
| Sinotubimorpha catenata (Yendo) W.X. Li & Z.F. Ding in Xia 2004: 141. Fig. 83. |
| Heterotypic synonyms |
| Grateloupia filicina var. lomentaria M. Howe 1924: 142. Pl. 1, Figs 2-4. Pl. 2. (Type locality: East Cliff, vicinity of Pei-Tai-Ho, China. Type specimen: ) |
| Sinotubimorpha claviformis W.X. Li & Z.F. Ding in Xia 2004: 143, 183. Fig. 84. Pl. 13, Fig. 2. (Type locality: Beidaihe, Hebei, China. Type specimen: ) |
| Sinotubimorpha guangdongensis W.X. Li & Z.F. Ding in Xia 2004: 145, 184. Fig. 85. Pl. 13, Fig. 5. (Type locality: Zhelang, Shanwei, Haifeng, Guangdong, China. Type specimen: ) |
| Sinotubimorpha qingdaoensis W.X. Li & Z.F. Ding in Xia 2004: 145, 184. Figs 86, 87. Pl. 13, Fig. 3. (Type locality: Qingdao, Shadong, China. Type specimen: ) |
| Sinotubimorpha ramosissima W.X. Li & ZF. Ding in Xia 2004: 150, 184. Fig. 88. Pl. 13, Fig. 4. (Type locality: Pingtan, Fujian, China. Type specimen: ) |
| その他の異名 |
| Grateloupia filicina var. porracea auct. non (Kützing) M. Howe (1924: 140); 岡村 1936: 540. |
| |
| Type locality: 青森県 鰺ヶ沢 |
| Lectotype specimen: TI herb. Yendo(東京大学植物標本庫)*SAP(北海道大学大学院理学研究院植物標本庫)に永久貸与 |
| |
| 分類に関するメモ:ウツロムカデはGrateloupia filicina var. lomentariaの異名同種(シノニム)とされていましたが,Wang et al. (2000)によって再評価されました。Xia (2004) はウツロムカデをムカデノリ属(Grateloupia)からSinotubimorpha属に移しましたが,Sheng et al. (2012)は遺伝子解析を基にウツロムカデをSinotubimorpha属からムカデノリ属に戻し,Xia (2004)が中国で記載したS. claviformis,S. guangdongensis,S. qingdaoensis,S. ramosissima,をウツロムカデの異名同種(シノニム)としました。 |
| |
 |
| 撮影地:福岡県 福津市 津屋崎;撮影日:2018年4月18日;撮影者:鈴木雅大 |
| |
 |
| 採集地:福岡県 福津市 津屋崎;採集日:2018年4月18日;採集者:鈴木雅大 |
| |
 |
| 押し葉標本(採集地:千葉県 銚子市 君ヶ浜;採集日:2004年9月13日;採集者:鈴木雅大) |
| |
|
|
|
|
| |
 |
|
 |
|
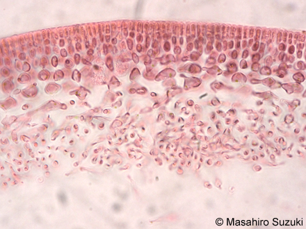
| 体の横断面(1.0%エリスロシン水溶液で染色) |
| |
 |
| 体の横断面のスケッチ(採集地:千葉県 銚子市 君ヶ浜;採集日:2004年9月13日;採集者:鈴木雅大) |
| |
| |
 |
|
 |
|
| 体の縦断面(1.0%エリスロシン水溶液で染色) |
| |
 |
| 体の縦断面のスケッチ(採集地:千葉県 銚子市 君ヶ浜;採集日:2004年9月13日;採集者:鈴木雅大) |
| |
 |
| 押し葉標本(採集地:新潟県 両津市 浦川漁港(現 佐渡市 浦川漁港);採集日:2003年7月23日;採集者:鈴木雅大) |
| |
 |
| 押し葉標本(採集地:新潟県 両津市 見立(現 佐渡市 見立);採集日:2003年7月25日;採集者:鈴木雅大) |
| |
| Carderon et al. (2014) ,Kim et al. (2014) などによる遺伝子解析において,ムカデノリ属(Grateloupia)が多系統群となることが示されました。Wang et al. (2001) 以降,ムカデノリ属とされてきた日本産種の多くが属の所属について検討が必要とされています。ウツロムカデとスジムカデ(G. ramosissima)は,ムカデノリ属のタイプ種であるG. filicinaと近縁で,日本産種の中ではこの2種のみが「真の」ムカデノリ属と考えられます。 |
| |
| 参考文献 |
| |
| Calderon, M.S., Boo, G.H. and Boo, S.M. 2014. Morphology and phylogeny of Ramirezia osornoensis gen. & sp. nov. and Phyllymenia acletoi sp. nov. (Halymeniales, Rhodophyta) from South America. Phycologia 53: 23-36. |
| |
| Guiry, M.D. and Guiry, G.M. 2012. AlgaeBase. World-wide electronic publication, National University of Ireland, Galway. https://www.algaebase.org; searched on 09 February 2012. |
| |
| Howe, M.A. 1924. Chinese marine algae. Bulletin of the Torrey Botanical Club 51: 133-144. |
| |
| Kim, S.Y., Manghisi, A., Morabito, M., Yang, E.C., Yoon, H.S., Miller, K.A. and Boo, S.M. 2014. Genetic diversity and haplotype distribution of Pachymeniopsis gargiuli sp. nov. and P. lanceolata (Halymeniales, Rhodophyta) in Korea, with notes on their non-native distributions. Journal of Phycology 50: 885-896. |
| |
| 岡村金太郎 1936. 日本海藻誌.964 pp. 内田老鶴圃,東京. |
| |
| Sheng, Y.-W., Zhang, W., Zhao, D. and Wang, H.-W. 2012. A morphological and molecular assessment of the genus Sinotubimorpha (Halymeniaceae, Rhodophyta). Journal of Systematics and Evolution 50: 146-152. |
| |
| Wang, H.-W., Kawaguchi, S., Horiguchi, T. and Masuda, M. 2000. Reinstatement of Grateloupia catenata (Rhodophyta, Halymeniaceae) on the basis of morphology and rbcL sequences. Phycologia 39: 228-237. |
| |
| Wang, H.W., Kawaguchi, S., Horiguchi, T. and Masuda, M. 2001. A morphological and molecular assessment of the genus Prionitis J. Agardh (Halymeniaceae, Rhodophyta). Phycological Research 49: 251-262. |
| |
| Xia, B.-M. 2004. Flora algarum marinarum sinicarum Tomus II Rhodophyta No. III Gelidiales Cryptonemiales Hildenbrandiales. 203 pp. Science Press, Beijing. |
| |
| Yendo, K. 1920. Novae algae japoniae. Decas I-III. Botanical Magazine, Tokyo 34: 1-12. |
| |
| Yoshida, T. 1991. Catalogue of the type specimens of algae preserved in the herbarium, Department of Botany, The University Museum, The University of Tokyo. The University Museum, The University of Tokyo Material Reports No. 24. 17 pp. 67 pls. |
| |
| 吉田忠生・鈴木雅大・吉永一男 2015. 日本産海藻目録(2015年改訂版).藻類 63: 129-189. |
| |
| |
| >写真で見る生物の系統と分類 >真核生物ドメイン >スーパーグループ アーケプラスチダ >紅藻植物門 >真正紅藻綱 >マサゴシバリ亜綱 >イソノハナ目 >ムカデノリ科 |
| |
| >日本産海藻リスト >紅藻植物門 >真正紅藻亜門 >真正紅藻綱 >マサゴシバリ亜綱 >イソノハナ目 >ムカデノリ科 >ムカデノリ属 >ウツロムカデ |
| |
| 「生きもの好きの語る自然誌」のトップに戻る |
| |
| © 2011 Masahiro Suzuki |